Servicii stomatologice în București
Albire și estetică dentară în București
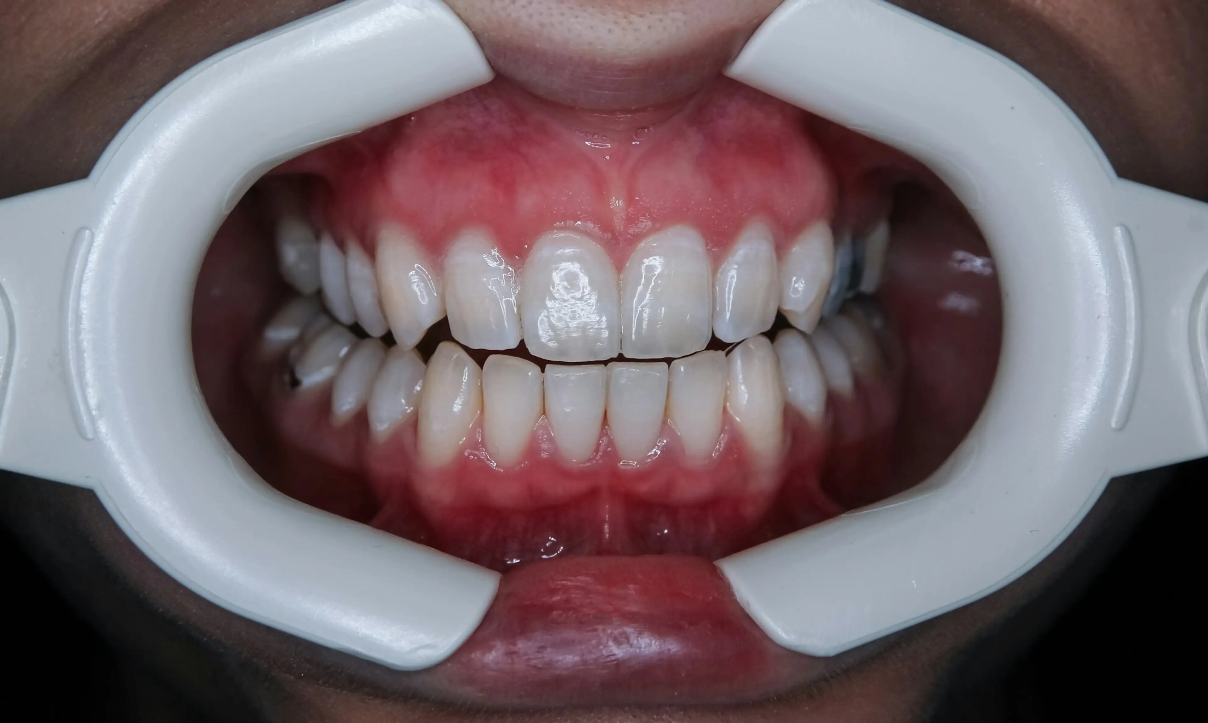
Estetica dentară include tratamente menite să îmbunătățească nu doar culoarea dinților, ci și armonia zâmbetului. Albirea dentară, fațetarea directă și procedurile estetice personalizate se aleg în funcție de structura dentară și obiectivul pacientului.
Dacă vrei un zâmbet mai luminos în București, este important ca planul să fie sigur, adaptat sensibilității dentare și realist din punct de vedere estetic.
De ce contează acest tratament
- Îmbunătățește aspectul zâmbetului fără tratamente inutile
- Permite corectarea nuanței și a unor imperfecțiuni minore
- Susține încrederea pacientului în contexte sociale și profesionale
Cum decurge tratamentul
Pasul 1
Evaluare estetică și verificarea sănătății dentare
Pasul 2
Alegerea tratamentului potrivit: albire, desensibilizare sau fațetare
Pasul 3
Monitorizare și recomandări pentru menținerea rezultatului
Întrebări și răspunsuri
Întrebări frecvente
Da, când este recomandată și supravegheată corect de medicul stomatolog. Înainte de albire este importantă evaluarea cariilor, a sensibilității și a stării gingiilor.
Rezultatul poate dura de la câteva luni la peste un an, în funcție de igienă, fumat, consumul de cafea, vin roșu sau alte alimente intens pigmentate.
În multe situații da, dar tratamentul trebuie adaptat. Uneori este indicată mai întâi desensibilizarea și alegerea unei proceduri mai blânde.
Lecturi recomandate
Articole utile despre acest subiect
Articole recomandate despre Cosmetică dentară
Halitoza persistentă nu este doar o problemă socială, ci poate semnala dezechilibre orale sau generale. Află cauzele reale, pașii corecți de diagnostic și soluțiile eficiente, bazate pe evaluare medicală.
Albirea dinților rămâne una dintre cele mai căutate proceduri estetice în stomatologie. Compară albirea la cabinet cu produsele pentru uz casnic, înțelege riscurile, durata efectului și ce înseamnă un plan sigur în 2026.
Anxietatea stomatologică este frecventă și tratabilă. În acest ghid găsești cauze uzuale, semnale, tehnici de coping și opțiuni de confort (inclusiv sedare), plus un plan pas cu pas pentru a reveni la controale fără să amâni îngrijirea.

